Don't miss our updates

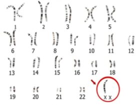
Turner Syndrome is a condition caused by the partial or complete absence of the X chromosome, and it mainly affects women. Most people have 46 chromosomes in each cell (23 from the mother and 23 from the father). This syndrome develops on the 45th chromosome and occurs when a woman has one normal X chromosome while the other X chromosome is missing, incomplete, or has some alteration. How can Turner syndrome be present? The symptoms that appear in different stages and vary depending on the physical and growth characteristics of the person who has it, may include the following: Before birth During birth or childhood During teenage and adulthood Significant accumulation of fluid in the back of the neck or other abnormal fluid accumulations Cardiac abnormalities Abnormal kidneys Wide or webbed neck Low-set ears Broad chest with widely spaced nipples High and narrow palate Arms that turn outward at the elbows Narrow and upward-turned fingernails of both hands and feet Swelling of the hands and feet Slightly shorter height than average Delayed growth Heart defects Low hairline at the back of the head Small or receding lower jaw Short fingers and toes Ovarian insufficiency Growth delay Lack of expected onset of sexual changes during puberty Sexual development that stops during the teenage years Early cessation of menstrual cycles that is not due to pregnancy Infertility Turner Syndrome can affect the proper development of various systems in the body of the person who has it, but it varies according to each case. The complications can be: How to Detect Turner Syndrome? In conclusion, Turner Syndrome is a genetic disorder that can impact women’s lives in many ways. Early detection of this syndrome is crucial in order to take preventive measures and provide appropriate treatment. The PGT-A test is a useful tool that can help detect Turner Syndrome in embryos prior to transfer. This preimplantation genetic testing can identify chromosomal abnormalities in the embryo and ensure that only normal embryos are selected for transfer. Detecting Turner Syndrome through PGT-A testing can provide couples with greater peace of mind and confidence in the IVF process, as it increases the chances of a successful pregnancy and a healthy baby. At Ingenes, we offer a variety of preimplantation genetic testing services, including PGT-A, that can help detect Turner Syndrome and other chromosomal abnormalities. Our team of experts is committed to providing personalized, high-quality care to help couples achieve their reproductive goals. If you or someone you know is interested in detecting Turner Syndrome, do not hesitate to contact us for more information about our services.