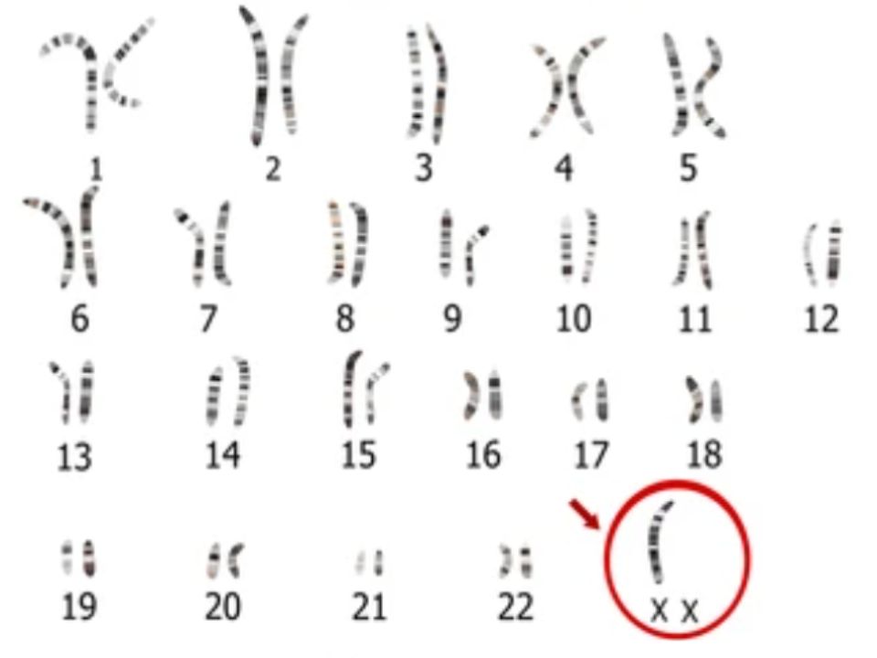
El Síndrome de Turner es una enfermedad provocada por la ausencia parcial o completa del cromosoma X y se da principalmente en mujeres, ya que tan solo en México una de cada 2 mil 500 de ellas nacen con este padecimiento.
La mayoría de personas tenemos 46 cromosomas en cada célula (23 de la madre y 23 del padre). Este síndrome se desarrolla en el cromosoma 45 y ocurre cuando una mujer tiene un cromosoma X normal, mientras que el otro cromosoma X está ausente, incompleto o con alguna alteración.
¿Cómo se puede presentar el síndrome de Turner?
| Los síntomas que se presentan en diferentes etapas y varían según las características físicas y del crecimiento de la persona que lo padece, pueden ser los siguientes: | ||
| Antes del nacimiento | Nacimiento o durante la niñez | La adolescencia y la adultez |
|---|---|---|
|
|
|
El síndrome de Turner puede afectar el buen desarrollo de distintos sistemas del cuerpo de la persona que lo padece, pero varía de acuerdo a cada caso. Las complicaciones pueden ser:
- Problemas de corazón: Los bebés que padecen el síndrome de Turner nacen con defectos cardíacos o incluso con ligeras anomalías en la estructura del corazón que va incrementando el riesgo de tener complicaciones graves. Los problemas cardíacos pueden abarcar inconvenientes en la aorta, el vaso sanguíneo grande que se extiende desde el corazón y que suministra al organismo de sangre oxigenada.
- Presión arterial alta: las personas que sufren el síndrome de Turner tienen un gran riesgo de presentar presión arterial alta, mismo que puede desembocar en enfermedades del corazón y vasos sanguíneos.
- Pérdida de la audición: El deterioro de la audición es común del síndrome de Turner. En algunos pacientes se debe a la pérdida paulatino de la función nerviosa, junto con grandes riesgos de presentar infecciones en el oído medio.
- Problemas de la visión: Las mujeres con el síndrome tienen un gran riesgo de tener un control muscular débil de los movimientos de los ojos, mejor conocido como estrabismo, miopía y otros problemas de visión.
- Problemas renales: Las niñas con Turner llegan a tener malformaciones en los riñones, y estas anomalías pueden incrementar el riesgo de presión arterial alta e infecciones de las vías urinarias.
- Trastornos autoinmunitarios: Las pacientes con síndrome de Turner tienen una gran posibilidad de tener baja actividad de la glándula tiroides (hipotiroidismo) debido al trastorno autoinmunitario llamado tiroiditis de Hashimoto. Así como también corren el riesgo de padecer diabetes, enfermedades intestinales e intolerancia al gluten.
- Problemas del esqueleto: Las dificultades de crecimiento y desarrollo de los huesos aumenta el riesgo de una curvatura anormal de la columna vertebral (escoliosis), una curvatura hacia adelante de la parte superior de la espalda (cifosis) y huesos débiles y frágiles (osteoporosis).
- Esterilidad: Las mujeres con síndrome de Turner son infértiles, es un porcentaje muy bajo, el que pueden quedar embarazadas de forma natural.
- Complicaciones durante el embarazo: La mayoría de mujeres con esta índole tiene un enorme riesgo de presentar complicaciones durante el embarazo, como puede ser preeclampsia, disección aórtica, entre otras más.

¿Cómo detectar el síndrome de Turner?
En conclusión, el síndrome de Turner es un trastorno genético que puede afectar la vida de las mujeres en muchos aspectos. La detección temprana de este síndrome es crucial para poder tomar medidas preventivas y proporcionar un tratamiento adecuado.
La prueba PGT-A es una herramienta útil que puede ayudar a detectar el síndrome de Turner en embriones antes de su transferencia. Esta prueba genética preimplantacional puede identificar anomalías cromosómicas en el embrión y asegurar que solo los embriones normales sean seleccionados para la transferencia.
La detección del síndrome de Turner mediante la prueba PGT-A puede proporcionar a las parejas una mayor tranquilidad y confianza en el proceso de la fertilización in vitro, ya que aumenta las posibilidades de tener un embarazo exitoso y un bebé sano.
En Ingenes, ofrecemos una variedad de servicios de prueba genética preimplantacional, incluyendo la PGT-A, que pueden ayudar a detectar el síndrome de Turner y otras anomalías cromosómicas. Nuestro equipo de expertos está comprometido a brindar atención personalizada y de alta calidad para ayudar a las parejas a alcanzar sus metas reproductivas. Si tú o alguien que conoces está interesado en la detección del síndrome de Turner, no dudes en contactarnos para obtener más información sobre nuestros servicios.